本文共1351字

圖/神奇傑克齒顎矯正專科診所提供
現代口腔醫療觀念逐漸成熟,許多人開始正視牙齒排列與咬合對外觀、自信與口腔健康造成的影響,使透明、美觀、可拆卸的矯正方式成為主流。今天要介紹的「神奇傑克齒顎矯正專科診所」,正是許多患者心目中值得信賴的新竹竹北隱適美矯正診所推薦品牌,他們擅長透過隱形矯正的方式,解決牙齒凌亂矯正需求,幫助患者安心踏出改變的第一步。
兒童文宣圖。圖/神奇傑克齒顎矯正專科診所提供
自隱適美於1999年問世後,牙科矯正正式邁入數位化與客製化的新時代,其在配戴舒適度、口腔清潔便利性與外觀隱蔽性上,都優於傳統金屬矯正。創立於2017年的神奇傑克齒顎矯正專科診所,看見這項技術對患者生活品質帶來的改變,因此決心投入隱形矯正領域,將診所資源聚焦於精準診斷、客製化治療計畫與療程追蹤管理。
李慧凌醫師早期投入家庭牙科與全人照護,陪伴不同年齡層患者建立健康且可長久維持的口腔狀態。隨著臨床經驗累積,她逐漸觀察到,患者也在意牙齒排列與咬合對笑容、自信與整體外觀的影響,但傳統矯正外觀明顯、清潔不易、不適感較高,促使李慧凌醫師深入鑽研隱形矯正技術。
看診照片。圖/神奇傑克齒顎矯正專科診所提供
李慧凌醫師累積完整的全科牙科臨床背景,涵蓋牙齒保健、修復、兒童牙科與成人牙科治療,後期專注於隱形矯正,因此她在規劃矯正療程時,能同時兼顧牙齒健康基礎、咬合功能與整體美觀,為患者制定更全面且符合長期口腔需求的治療計畫,提供成人、青少年或兒童相應的隱形矯正建議。
新竹竹北隱適美矯正診所推薦品牌神奇傑克齒顎矯正專科診所,主要提供隱適美矯正與維持器製作服務,先進的3D口內掃描與ClinCheck數位模擬系統,能完整呈現牙齒移動的預期軌跡;最新的SmartTrack材質隱適美牙套,具備高度服貼性與穩定度,在日常配戴與拆卸上更為便利,也有助提升療程的舒適度與預測性。
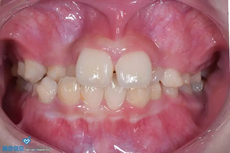
案例治療前。圖/神奇傑克齒顎矯正專科診所提供
曾有長期接受李慧凌醫師追蹤的小朋友,在換牙階段被發現牙弓偏窄、牙齒空間不足,以及側門牙錯咬的情況。由於顎骨仍處於發育期,醫師選擇在適當時機進行早期矯正,溫和引導牙弓成長,讓恆牙能有足夠空間排列,降低未來牙齒擁擠、暴牙或需進行複雜矯正的風險。
神奇傑克齒顎矯正專科診所也提供完整的成人隱形矯正規劃,適用於暴牙、戽斗、開咬、牙縫過大與牙齒排列不整等狀況,透過隱形矯正方式,讓患者在日常生活中維持自然外觀,同時改善牙齒凌亂矯正問題,品牌也成功建立新竹竹北隱適美矯正診所推薦口碑。
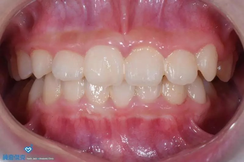
案例治療後。圖/神奇傑克齒顎矯正專科診所提供
新竹竹北隱適美矯正診所推薦品牌神奇傑克齒顎矯正專科診所,以隱形矯正、專業背景及對患者感受的重視廣獲好評,他們致力陪伴兒童、青少年、成年人完成屬於自己的矯正計畫,若您正在尋找兼顧美觀、舒適與醫療品質的牙齒凌亂矯正選擇,神奇傑克齒顎矯正專科診所就是您建立自信與笑容的好夥伴。
更多新竹竹北隱適美矯正診所推薦資訊請洽以下連結
品牌:神奇傑克齒顎矯正專科診所
電話:03-6681496
地址:竹北市文興路361號2樓
時間:週一至週五10:30~19:00,週六9:00~17:30
FB|IG|Yahoo新聞
醫療機構代碼:3733051710
新聞來源來自專注在地商家的 [店家日報]:神奇傑克齒顎矯正專科診所
※ 歡迎用「轉貼」或「分享」的方式轉傳文章連結;未經授權,請勿複製轉貼文章內容
留言